Skip Menu
Continue
Call
Today
for a Free Consultation
Existing Patients:
(718) 721-4700
New Patients:
(718) 412-9450
31-56 Steinway Street, Astoria, NY 11103
Home
About Us
Our Office
New Patients
Smile Gallery
Dental Videos
Testimonials
Our Doctors
Richard Manuelian, DDS
Services
All on 4®
All on 6®
View All
Dental Health
Contact
Contact Us
Request Appointment
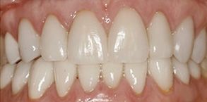
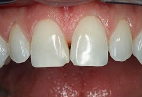
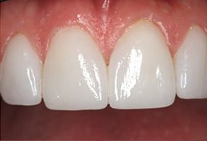
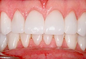
Smile Gallery
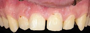
Before
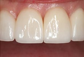
After
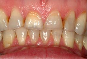
Before
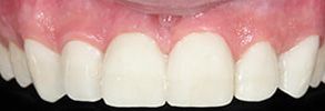
After
Before
After
Before
After
Before
After
Before
After
Before
After
Before
After
Before
After
31-56 Steinway Street,
Astoria, NY 11103
Existing Patients:
(718) 721-4700
New Patients:
(718) 412-9450
Appointment
Contact Us